階段の上り下りがつらい、朝起きて最初の一歩が痛い──。
そんな膝の痛みが長引くと、「変形性膝関節症かもしれない」と不安を感じる方も多いのではないでしょうか。年齢や負担の蓄積によって膝の軟骨や半月板がすり減ると、痛みやこわばり、腫れが起こり、進行すると日常生活にも支障が出てきます。
しかし、近年は手術に頼らずに膝の機能を取り戻す再生医療が注目されています。
当院では、患者さま自身の脂肪から採取した「自己脂肪由来幹細胞」を用い、損傷した軟骨や半月板の修復、炎症の抑制を目指す治療を行っています。
今回は、ヒアルロン酸注射やPRP療法では改善が見られなかった患者さまが、幹細胞治療によって痛みを完全に克服した実例をご紹介します。
<治療前の状態>
- 1年前から左膝に違和感
- 最初は運動の後だけ痛む程度だったので、湿布を貼って様子を見ていた
- 徐々に階段の昇り降りが辛くなる、朝起きた時の一歩目が痛い
- 近くの整形外科で変形性膝関節症と診断される
- ヒアルロン酸注射を何度か受けたが、効果は一時的で痛みは悪化
- 趣味の買い物やフラダンスはいけなくなり、誘いを断ることが増える
- 3ヶ月前にPRP治療を1度他院でおこなったが、1ヶ月ほどで効果がきれた
- 家事もあるので入院がある手術は受けたくない
患者様は1年前から自覚症状が出始めた変形性膝関節症で、幹細胞治療による改善・根治を目的に当院にいらっしゃいました。痛みスコアは10段階のうち8(VAS 8/10)で、MRIでは変形性膝関節症のレベルは4段階で3(KL 分類3/4)に加え半月板の損傷もみられました。

所見:
- 膝関節に炎症(白っぽさ)が全体にある
- 内側の半月板に損傷(白い部分)
- 内側で関節が狭くなっている
<治療内容>
自己脂肪由来幹細胞治療(1億個、1回)+乳歯歯髄由来幹細胞培養上清液(1本2ml、1回)
当院の膝幹細胞治療の特徴
- 最高の品質と安全性を兼ね備えた幹細胞培養技術
- 1回で最大1億個の幹細胞を投与
- 幹細胞上清液やPRP投与で培養を待つ間(6週間)の痛みを軽減できる

<治療経過>
[初診時]
痛みが10段階中8、階段の上り下りはほぼ無理。足をひきずる感じがある。夜寝ていても痛みを感じるときがある。朝起床時もこわばりがある。
→脂肪採取、痛みを抑えるために乳歯歯髄由来の幹細胞培養上清液1本2mlを膝に局所投与。
[幹細胞投与時(初診・幹細胞培養上清液投与から6週間後)]
痛みが10段階中3に改善、日常生活は普通に暮らせるようになる。階段の上り下りだけしんどい時がたまにある。
→1億個の幹細胞を膝に局所投与
[幹細胞投与後1か月]
痛みが10段階中2にさらに改善、階段の上り下りも大丈夫になる、痛みを感じるときがたまにある。
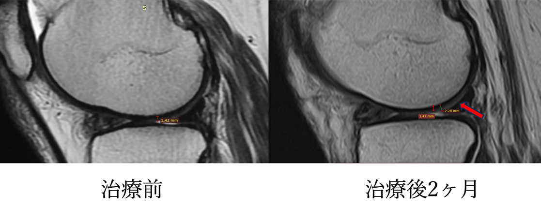
[幹細胞投与後2か月]
痛みが10段階中1にさらに改善。痛みを感じなくなる。
MRI画像でも炎症は治まり、半月板の再生や軟骨が生えてきていることを確認。

半月板の炎症や腫大軽快。
膝周囲の炎症(白っぽさ)が軽快している
[幹細胞投与後3か月]
痛みが10段階0に。完全に痛みを感じることはなく、運動も開始している。

当院の半月板損傷を伴う中等度から重症の変形性関節症の治療成績は、非常に良好です。患者様は、手術を受けるのは怖い印象があったのと入院リハビリで家を空けるのをよしとしていませんでした。再生医療を受けなければ変形性関節症が進行していた可能性があり、治療により痛みの完全消失と、将来のリスク回避を同時に実現できました。
当院の幹細胞治療は、入院はなく、少ない負担で行うことが可能です。痛みの軽減と変形性関節症への進行防止・根治の可能性を同時に目指すことができます。
<起こりうるリスク・副作用>
- 脂肪採取部の内出血や創部感染、傷跡などが起こることがまれにあります。
- 関節注射後、膝が張る感じや重だるい感じが3日から1週間続くことがまれにあります。
再生医療を活用し、「切らない膝」治療で根治・緩和をご提案 膝関節症再生治療
膝関節症に効く「再生医療」完全ガイド|自己脂肪幹細胞・PRP・APS・エクソソーム徹底比較
まとめ
変形性膝関節症は、加齢や負担の蓄積によって誰にでも起こりうる病気ですが、近年の再生医療の進歩によって「手術に頼らない治療」が現実のものとなっています。
今回ご紹介した症例のように、自己脂肪由来幹細胞を用いた治療では、炎症の抑制と組織の修復を同時に行うことができ、日常生活を取り戻す方が増えています。
当院では、患者さま一人ひとりの症状や生活背景に合わせた最適な再生医療をご提案し、膝の痛みを根本から改善することを目指しています。
「もう手術しかない」とあきらめる前に、再生医療という新しい選択肢をぜひ知っていただければと思います。
最終更新日:2026.03.05